Skip to main content
Due to high demand, all non practice patients have a 6 week wait for an appointment. 

Currently Happy Teeth in New Plymouth and  Victoria Dental in Whanganui have capacity to see any new patients or emergencies.
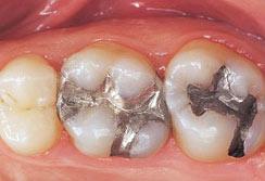
Silver Fillings - Amalgam
A healthy, beautiful smile starts here

Silver Fillings - Amalgam | Dentist
Improve your smile today – call to schedule a consultation!
Claim Now!

Silver Fillings - Amalgam

Fillings are the most common type of 'restorative treatment'. A filling replaces the part of the tooth that has been lost either because decay has caused a cavity in the tooth or because the tooth has broken. One option in restoring the tooth is to have an Amalgam filling however with high quality tooth coloured fillings available, amalgam usage is now declining.

Amalgam - Sometimes referred to as a silver filling. This is an alloy which is made up using Mercury, Silver, Tin, Copper and Zinc.
It is extremely durable and able to withstand the grinding and chewing of the molar teeth over long periods of time.
They are less expensive than white fillings

The disadvantages

  • They look unattractive in the tooth due to its colour.
  • Some people are concerned about the mercury content; please discuss this with your dentist.
  • Amalgam expands and contracts with temperature which can weaken the remaining tooth.
  • The colouring leaches into the dentinal tubules inside the tooth, leaving a permanent blue-grey halo that bleaching cannot remove.

The Procedure

  • A local anaesthetic will be given to numb the tooth and the surrounding tissue.
  • The tooth will be thoroughly cleaned. All decay, food debris or tartar will be removed. The tooth will then be shaped to accept the amalgam  by mechanical retention rather than being bonded or cemented.
  • Depending on the size of the filling, a band may be placed around the tooth which helps to hold the filling material in place whilst it is being packed into the tooth.
  • The Amalgam is packed into the tooth, then carved in to the correct shape.

Although amalgam hardens within a few minutes, it takes 24 hours for it to set fully.

Frequently Asked Questions

We’ve been asked:

Should a parent accompany a child into the treatment room?

 

Dentists frequently prefer that parents do not accompany children into the treatment room since they want to gain the child’s attention and establish control of the situation.

However, for the first visit, it can be comforting for the child to have a parent come along for the process of getting settled into the chair. Some children do much better with a parent there for support, while others may become unruly because they know they can manipulate their parents. Some parents just can’t relinquish their child to another’s care and may interfere unnecessarily, or they may distract the child with bribes, reprimands and conversation.

Mary Anne does like having parents in the room. But, she does prefer to establish one-to-one relationship with the child (as in asking parents to observe only).

Could you stay out of your child’s line of vision and don’t talk.

If your preschooler finds it comforting to hold your hand the dentist may agree to let you do this after the first 10 minutes

There may be some occasions when if treatment is not completed/not attended we are obliged to report this to other child providers.

Meet Our Doctor:

Dr Mary Anne Costelloe BDS Dip.Clin
Dentist

Mary Anne has owned this practice for 25 years after purchasing it from Dr Kerry Hamilton/Dr David Haszard after working for Dentists in New Plymouth for 2 years. She has a Clinical Diploma is Paediatric Dentistry and prides herself providing an environment that is very child and Adult friendly, and wishes her patients to understand the treatments offered to them.  Mary Anne has 4 adult children and 3 grandchildren

Getting an appointment is fast and easy!
Get Started!